
「削らない・抜かない」
ご自身の歯を残す治療方法
接着歯科とは
「接着歯科」とは将来的にご自身の歯を残すことを可能にした最新の治療方法になります。文字通り歯科用接着材料を使用した治療を行います。
これまでの歯科医療、接着材料の技術進歩により実現しました。治療において、なるべく歯を削らない、抜かないに越したことはありません。
より広範囲なむし歯治療、欠損修復に応用することで、健全、健康な歯を削ったり抜いたりすることが少なくなります。
結果、歯への負担を減らし、ご自身の歯を残すことができます。
歯科治療において
こんなお悩みありませんか??
- 1自分の健康な歯を残したい。
- 2治療回数を減らしたい。
- 3自然な白い歯にしたい。
当院の接着歯科を活用すれば
解決できます。
-

健康な歯を残せる
症状の悪い歯以外の健康な歯を削ることはありません。また症状の再発リスクも低いので、ほかの歯に影響を与えません。
-

治療回数が減る
従来の欠損修復による治療では、歯の型を取る必要があり治療を分けることがありました。接着歯科ではその日に治療が完了します。
-

自然な白い歯へ
接着歯科で使用する材料や素材は審美的にも良いものを使用しております。
またその後は黄ばみにくくいものになります。
advantage
接着歯科の強み
従来の治療法では
健康な歯への
ダメージが大きい
健康な部分まで大きく削り、人工物をはめ込む。
小さなむし歯から
抜歯への期間が短い
従来の治療方法では最初は小さなむし歯でも、人工物の置き換え作業になり、同じ場所での症状の再発が起こりやすくなります。また、健康な歯の部分まで大きく削る必要があり、抜歯へとつながる期間がどうしても短くなってしまいます。
そこから抜歯した歯のため「ブリッジ」をすると、健康な歯を削ることになります。そうした健康な歯はだんだんともろくなり結果的に抜歯をしなければならなくなってしまいます。
結果的にご自身の歯を
残せない可能性が高い。
従来の治療方法では、従来の治療方法では、抜歯をしなければならない期間が短くなり、どんどんご自身の歯が減っていきます。その度に人工物の置き換えを繰り返しお亡くなりになる前には、ご自身の健康な歯は0本という結果になってしまう可能性が高くなってしまうと考えられます。
ご自身の歯が
無くなるまでの流れ
- 詰め物(インレー)
- 被せ物(クラウン)
- ブリッジ治療
- 部分入れ歯
- ご自身の歯が無くなり
総入れ歯
当院では、
接着歯科と予防歯科を用いて
あなたご自身の健康な歯を残します
当院の接着歯科では
健康な歯を守ることができる
削る部分を最小限にし、しっかり接着する。
従来の歯科用セメントと人工物の置き換えによる治療方法ではむし歯の再発リスクが高かったり、また治療の度に歯を大きく削る必要がありました。当院の接着歯科を用いた治療では、歯を削るのを最小限にとどめます。削る部分が少ないので、抜歯をするまでの期間を伸ばすことができ、歯を抜くことが少なくなります。また当院の予防歯科と併用することにより、むし歯になるリスクをより減らすことができます。健康な歯への負担を小さくし、予防をすることで将来的にご自身の健康な歯をより多く残すことができるのです。
ダイレクトCR治療法とは
従来の銀歯、セラミック、プラスチック材料とは違い、CR(コンポジットレジン)という高分子材料を使用した治療法です。また拡大鏡や顕微鏡下で行う精密治療になりますので、小さなむし歯も見逃しません。変色がしにくい材料なので自然な白さにつながり、当日に治療が完了します。
case
接着歯科を活かした治療例
-
-
治療前

-
治療後

ダイレクトブリッジ
自費治療
接着歯科を活かしたブリッジ治療です。
歯を1本抜歯された際におすすめする治療です。- 費用
- 50,000~120,000円
-
-
-
治療前

-
治療後

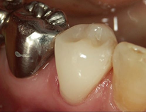
ダイレクトCRインレー
自費治療
小さなむし歯や欠損による小さな穴を埋めるにはこちらの治療が一番最適です。
- 費用
- 20,000~30,000円
-
-
-
治療前

-
治療後

ダイレクトべニア
自費治療
歯の変色が気になったり、歯の間に隙間を埋めたいかたにお勧めです。
- 費用
- 40,000~80,000円(1本)
-
-
-
治療前

-
治療後

ダイレクトクラウン
自費治療
接着歯科を活かしたクラウン(被せ物)です。
セラミックより比較的安価で治療でき、審美性も保てます。- 費用
- 50,000~80,000円
-
FACILITY・
TOOL
接着歯科で使用する設備・道具
-

歯科用接着剤
強固な接着性を持つ歯科用接着剤(ボンディング材)です。
-

コンポジットレジン
接着歯科おいて使用される最新の高分子材料です。治療の際は加工がしやすく、治療後は強度が高まり、色を直接合わせやすく変色やかけても修理可能です。
-

エキスカベーター(手用の器具)
健康な歯の部分を残しつつ、虫歯の幹部を丁寧に取り除く際に使用する器具です。
-

マイクロスコープ、ルーペ
接着歯科は精密治療になります。より正確に治療を行うために使用し、細かい治療に役立てます。
-

う蝕検知液
接着歯科における、むし歯治療の際そのむし歯の部分を染め出すことで取り残しを防ぎます。
-

ラバーダムとZOO
接着力を最大限生かすために使用します。
唾液や血液の汚染から接着面を守り乾燥を保ちます。
一番は治療が必要になる前に
予防メンテナンスすることが
大切です。
接着歯科について
詳しくは
お気軽に当院へ
お問い合わせください。
- 診療時間
- 9:30~12:30/14:00~19:00
- 休診日
- 土曜午後・日曜・祝日


