前歯を失ったときに
こんな悩みはありませんか?
- 1インプラント治療は出来ない、
避けたい - 2自分の健康な歯を削っての
ブリッジはいやだ - 3自分の歯は削りたくないが
入れ歯は嫌だ - 4治療時間が長くなるのは困る
- 5他の治療法と迷う
当院のダイレクトブリッジを
活用すれば解決できます。
-

自分の健康な歯を
ほとんど削らない -

煩わしい取り外しや
バネがなく固定式である -

自分の歯に調和したより
自然な歯の形と色 -

1~2回の来院で
歯の修復完了 -

自分の歯を削らないので
治療後、その他の治療法への
変更も可能
コンポジットレジンについて
コンポジットレジンとは、セラミックスの微細粒子と光をあてると硬化する合成樹脂(レジン)とを混合して作られた修復材料です。歯に強く接着して一体化し、自然の歯の色に近い修復が可能です。反面、金属やセラミックスに比べて強度は低く、破折や摩耗の可能性があるため、歯科医院での定期的な確認や調整が必要です。また、人体への材料による副作用はありません。

ダイレクトブリッジ治療の流れ
-

型どりをして
シュミレーションと
治療用ガイドの作成 -

隣の歯の清掃後、
接着処理 -

コンポジットレジンによる連結、
歯冠形態の回復 -

かみ合わせ等確認、
形態修整、調整、研磨 -

お手入れの説明
feature
当院のダイレクトブリッジの特長
-

経験豊富な歯科医師による
丁寧な施術当院はダイレクトブリッジの実績が多くあり、様々な症例に基づいた経験豊富な医師やスタッフが患者様の悩みに寄り添い、最適な治療法を提示いたします。
-

万全のフォロー体制
当院では特性をよく理解した日本歯科保存学会認定衛生士(う蝕予防管理)が適切なメンテナンスを行い、歯肉の良好な状態を維持します。
-

トラブルへの対応
ダイレクトブリッジの最大のトラブルは、破損です。ただダイレクトブリッジの長所としては、修理・再治療のハードルが低いことです。そのため1~2年の保証期間を付けています。また保証期間外でも有償ですが、修理・再治療が可能です。
case
接着歯科を活かしたダイレクト修復の治療例
-
-
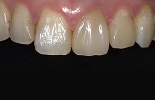
治療前

-
治療後

ダイレクトブリッジとダイレクトクラウンのコンビネーション
自費治療
- 費用
- 120,000~150,000円
-
-
-
治療前

-
治療後

ダイレクトべニア
自費治療
- 費用
- 40,000~80,000円(1本)
-
-
-
治療前

-
治療後

ダイレクトクラウン
自費治療
- 費用
- 50,000~80,000円
-
-
-
治療前

-
治療後

歯間離開閉鎖
自費治療
- 費用
- 22,000円(一本)
-
ダイレクトブリッジを
おすすめしない方
- 1大臼歯欠損
- 2歯ぎしり、咬合力が極端に強い
- 3奥歯のかみ合わせがない
- 4プラークコントロールが悪い方
- 5自分の歯の長持ちに関心がない
一番は治療が必要になる前に
予防メンテナンスすることが
大切です。
ダイレクトブリッジについて
詳しくは
お気軽に当院へ
お問い合わせください。
- 診療時間
- 9:30~12:30/14:00~19:00
- 休診日
- 土曜午後・日曜・祝日


