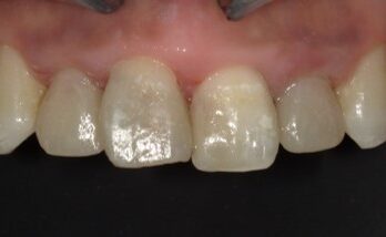
審美歯科
-
審美歯科
空隙閉鎖
-
治療前

-
治療後

- 費用
- 22,000【1か所】円
- 担当医からのコメント
- 矯正治療はせずに接着歯科を応用した歯を削らずに空隙閉鎖した症例 ラミネートベニアとは違い歯型を採らない為1日来院で終了します。
- リスク
- プラークコントロールの状態によっては着色や、褐線を生じる場合があります。その際は再研磨します。
-
-
審美歯科
コンポジットレジン修復
-
治療前

-
治療後

- 費用
- 健康保健一部負担金円
- 担当医からのコメント
- う蝕の治療 コンポジットレジンは、セラミックスからなるフィラー(微細粒子)と 光を当てると硬化する合成樹脂(レジン)との混合して作られた修復材料です。 保険適応材料ものと、保険診療以外の材料も入手可能です。
- リスク
- プラークコントロール(歯ブラシの状況)が悪いと長い時間の間に着色する事があります
-
-
審美歯科
矯正治療とダイレクトブリッジのコラボ
-
治療前

-
治療後

- 費用
- 99,000(1か所につき)円
- 担当医からのコメント
- 両側側切歯欠損に対して矯正治療とダイレクトブリッジの組み合わせ 矯正治療でスペースを作り矯正治療の最終段階で接着歯科を応用し ダイレクトブリッジを施術しました。
- リスク
- 矯正治療の後戻り予防とダイレクトブリッジの破折予防のため リテーナーマウスピースは必須となります。
-
-
審美歯科
ダイレクトブリッジ
-
治療前

-
治療後

- 費用
- 99,000円
- 担当医からのコメント
- 中切歯欠損のダイレクトブリッジ症例 反対側に比べ1.2倍ほどの幅を両隣在歯の 幅を若干増やし中切歯の対称性を考慮しました。
- リスク
- ダイレクトブリッジの維持に関して 臼歯部の咬合を維持することや 歯ぎしりに対してマウスピース装着を 勧めます
-
-
審美歯科
ダイレクトブリッジと矯正治療の組み合わせ
-
治療前

-
治療後

- 費用
- 99,000円
- 担当医からのコメント
- 他医院様での矯正治療とダイレクトブリッジのコラボレーション 左上側切歯先天性欠損における矯正治療後に 患者様の希望でインプラントではなくダイレクトブリッジ を矯正治療前から計画して矯正治療され治療の最終段階で仮歯を外し 接着歯科を活かしたダイレクトブリッジを施術しました。
- リスク
- 極細の歯間ブラシやブリッジ用の特殊なフロスでの 清掃、歯科医院でのプロフェッショナルクリーニングが 必要です。
-
-
ホワイトニング
オールセラミックス
-
治療前

-
治療後

- 費用
- 132,000円
- 担当医からのコメント
- 他院で治療した前歯の再修復 ホワイトニング後に再根管治療後オールセラミッククラウンとしました。 若年者で色調をマッチングさせるのに最適な素材としました。 1度完成してから形と色調を再調整してセットしました。
- リスク
- 破折・脱離のリスクはあります。
-
-
審美歯科
8年後のダイレクトブリッジ
-
治療前

-
治療後

- 費用
- 66,000(当時)円
- 担当医からのコメント
- 右上側切歯(向かって左)隣の中切歯(真ん中の歯)はセラッミクの歯で接着には不利なため 右上の犬歯への接着だけで機能しています。歯ぎしり等が少ないのも接着の耐久性には有利だ と考えます。
- リスク
- 着色はしますが、PMTC(歯面清掃)リファビイッシュ(再研磨)により 修復直後の状態に近づきます。
-
-
審美歯科
ダイレクトブリッジ
-
治療前

-
治療後

- 費用
- 110,000円
- 担当医からのコメント
- 歯根破折で抜歯後時間をおいてから患者様の希望によりダイレクトブリッジとしました。 接着面を清掃したのち無麻酔下で以前の虫歯で治療された人工物は除去しましたが、 健康な歯をけずらずに接着歯科を応用しブリッジをいれました。 予め治療用のガイドを作成していたものを利用して1時間ほどの施術でした。
- リスク
- 歯周病などで、歯に動揺があったり歯ぎしりが常習的にあり場合は 脱離や破折のリスクは高くなります。
-
-
審美歯科
ラミネートベニア
-
治療前

-
治療後

- 費用
- 80000円+tax(1本)円
- 担当医からのコメント
- 変色が多数歯にわたり、歯並びも気になっていらっしゃいました。 ラミネートベニアとジルコニアフレームオールセラミック で対応しました。白いを強調した歯を希望されました。
- リスク
- メインテナンスが必要です。
-
-
審美歯科
オールセラミック
-
治療前

-
治療後

- 費用
- 100000+tax円
- 担当医からのコメント
- 他の色を合わせることが難しいため2回ほど色合わせをしました。 甲斐あって自然な歯を獲得できました。
- リスク
- セラミックの歯は欠けることがあります。 歯ぎしりの強い方はマウスピースを使ってもらうことがあります。 セラミックは変色しませんが自分の歯の色が変わってしまうと 若干違和感が出ることがあります。
-


