接着歯科
-
接着歯科
ダイレクトブリッジ
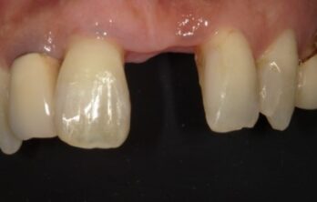
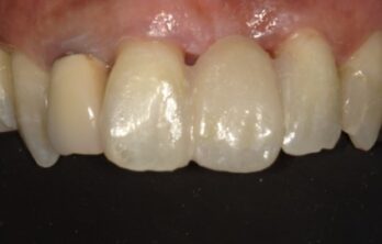
-
治療前

-
治療後

- 費用
- 99,000円
- 担当医からのコメント
- 義歯を紛失後、仮歯を装着されダイレクトブリッジを希望され来院、 初診時インデックス作成のための歯型をいただき、 2回目の来院で無麻酔下で接着歯科を応用したダイレクトブリッジを施術しました。 欠損のスペースと反対の健全歯の幅が違うことや、 歯肉と歯の隙間(ブラックトライアングル)を小さくするため 多少、形態が非対称となっています。
- リスク
- 口腔ケアの個々人の状態により 経年的な着色等の度合いが違います。 定期的なメインテナンスとリファービッシュ(再研磨)で 治療後の状態を保つことができます。
-
-
接着歯科
4年半後のダイレクトブリッジ
-
治療前

-
治療後

- 費用
- 99,000円
- 担当医からのコメント
- 4年半後のダイレクトブリッジ 多少の着色などがあり再研磨しました。 接着には問題なく機能しています。
- リスク
- 口腔内のセルフケアの状況次第で着色等することがありますが リファービッシ)することで修復直後の状態に近づけることができます。
-
-
接着歯科
4年後のダイレクトブリッジ
-
治療前

-
治療後

- 費用
- 99,000円
- 担当医からのコメント
- 欠損歯の隣が片方のみ天然歯だったダイレクトブリッジ症例の4年後 3年後にもう片方の隣のセラミックの歯が外れたため ダイレクトクラウンで修復して、ダイレクトブリッジをそのまま活かして 2リテイナー(両方に接着して)にして修復した形です。 経時変化・環境変化に対応しやすいことも、ダイレクトブリッジのメリットの一つです。
- リスク
- 接着した土台の歯が虫歯や歯周病により失われることは、 できる限り避けたいものです。
-
-
接着歯科
下顎側切歯ダイレクトブリッジ
-
治療前

-
治療後

- 費用
- 99,000円
- 担当医からのコメント
- 歯周病により抜歯した下顎側切歯欠損をダイレクトブリッジ症例 歯周基本治療ののちに行いました。 下顎前歯部欠損は欠損スペースの狭さや 歯槽骨の薄さなどからインプラント治療ができなかったり 高度な骨造成が必要になることからインプラント以外の治療を 望まれるれる方が多いのが現実です。
- リスク
- 歯周病・プラークコントロールは大切です。
-
-
接着歯科
ダイレクトブリッジ5年半後
-
治療前

-
治療後

- 費用
- 99,000円
- 担当医からのコメント
- 5年半前にダイレクトブリッジを施術 形態を整えて修復した症例 プラーコントロールがよく5年半後も色調も調和しています。 自身の歯とダイレクトブリッジとの境界の再研磨が必要となりました。
- リスク
- プラークコントロールがよくこと、 かみ合わせが安定しているなどから もし脱離や破折があっても再修復することも可能です。
-
-
接着歯科
4年後のダイレクトブリッジ(2年目破折による修理)
-
治療前

-
治療後

- 費用
- 250,000円
- 担当医からのコメント
- インプラント治療や義歯や歯を削ってのブリッジが適応で、 本来はその適応ではないのですが患者様の強い希望により (以前の虫歯治療による充填物は除去してある状態から) ダイレクトブリッジを施術しました。 やはり2年後にブリッジの中間で破断し、修理を行いました。 今後も破折による対応が必要となると思われます。
- リスク
- たとえ1歯欠損でも、破折しやすさは個々人で様々なので、 ダイレクトブリッジをを勧めしない場合も多いです。 修理には費用(保証期間を過ぎると)が発生します。 10,000円~初期費用と同額まで必要になります。
-
-
接着歯科
6年後のダイレクトブリッジ
-
治療前

-
治療後

- 費用
- 66,000当時 (現在99,000)円
- 担当医からのコメント
- 6年ぶりに他の歯の治療とブリッジの着色を 気にされて来院。ブリッジと歯の接着の境の着色 を再研磨しました。
- リスク
- プラークコントロールがよく、 臼歯部(奥歯)のかみ合わせもあり、 歯ぎしりなどが少ないとおも割れることが 安定している要因であると考えます。
-
-
接着歯科
ダイレクトクラウン
-
治療前

-
治療後

- 費用
- 77,000円
- 担当医からのコメント
- 残根状態の右上側切歯の即日・接着修復症例 麻酔下で歯肉の整形を行ってから、歯面清掃の後 SLDPとういう、接着力を向上させる手法を併用し ダイレクトクラウンで修復しました。
- リスク
- 即日修復は可能ですが、条件が悪い修復の場合 後日再研磨やかみ合わせの再調整が必要になります。
-
-
接着歯科
ダイレクトブリッジ with amidex
-
治療前

-
治療後

- 費用
- 130,000円
- 担当医からのコメント
- 第一小臼歯抜歯後のダイレクトブリッジ症例 第二小臼歯の金属は取り除いてブリッジの接着面としています。 抜歯前にamidexのための資料採りをして抜歯後 amidexを用いてダイレクトブリッジを施術しました。
- リスク
- 歯ぎしりの可能性がある方は マウスピース装着をおすすめします。
-
-
接着歯科
10年半後のダイレクトブリッジ
-
治療前

-
治療後

- 費用
- 150,000円
- 担当医からのコメント
- 上(左)は2014年12月の術直後 下(右)は2025年8月来院時 リコール来院もほとんどなく プラークコントロールも決して良い方ではありませんが 過去に1度の破折修理を経て現在に至っています。 ダイレクトブリッジに有利な条件としては、歯冠長歯の長さが少しだけ長いこと、 接着している隣の1本の歯は大きくかけたため、接着面積が大きくとることができたことが挙げられます。
- リスク
- 口腔内環境により着色が付くことがあります。 再研磨(リファービッシュ)により、取り除ける場合がほとんどです。 リコール管理時に行うことで、術直後の状態を維持することが可能です。
-


