すべての症例
-
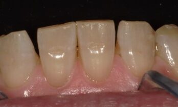
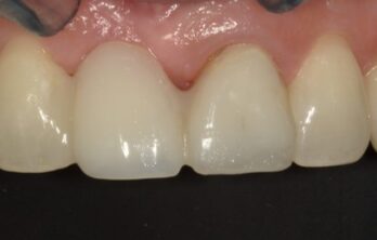
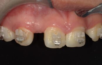
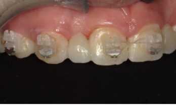
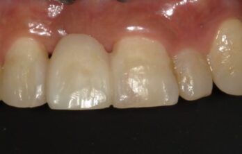
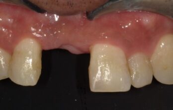
審美歯科
空隙閉鎖
-
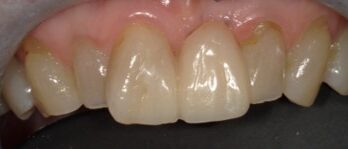
治療前

-
治療後

- 費用
- 22,000【1か所】円
- 担当医からのコメント
- 矯正治療はせずに接着歯科を応用した歯を削らずに空隙閉鎖した症例 ラミネートベニアとは違い歯型を採らない為1日来院で終了します。
- リスク
- プラークコントロールの状態によっては着色や、褐線を生じる場合があります。その際は再研磨します。
-
-
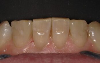
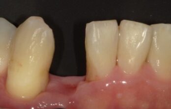
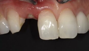
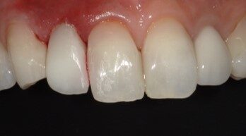
接着歯科
4年半後のダイレクトブリッジ
-
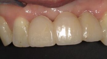
治療前

-
治療後

- 費用
- 99,000円
- 担当医からのコメント
- 4年半後のダイレクトブリッジ 多少の着色などがあり再研磨しました。 接着には問題なく機能しています。
- リスク
- 口腔内のセルフケアの状況次第で着色等することがありますが リファービッシ)することで修復直後の状態に近づけることができます。
-
-
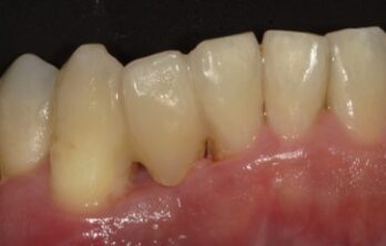
審美歯科
コンポジットレジン修復
-
治療前

-
治療後

- 費用
- 健康保健一部負担金円
- 担当医からのコメント
- う蝕の治療 コンポジットレジンは、セラミックスからなるフィラー(微細粒子)と 光を当てると硬化する合成樹脂(レジン)との混合して作られた修復材料です。 保険適応材料ものと、保険診療以外の材料も入手可能です。
- リスク
- プラークコントロール(歯ブラシの状況)が悪いと長い時間の間に着色する事があります
-
-
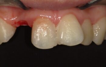
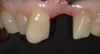
接着歯科
4年後のダイレクトブリッジ
-
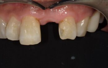
治療前

-
治療後

- 費用
- 99,000円
- 担当医からのコメント
- 欠損歯の隣が片方のみ天然歯だったダイレクトブリッジ症例の4年後 3年後にもう片方の隣のセラミックの歯が外れたため ダイレクトクラウンで修復して、ダイレクトブリッジをそのまま活かして 2リテイナー(両方に接着して)にして修復した形です。 経時変化・環境変化に対応しやすいことも、ダイレクトブリッジのメリットの一つです。
- リスク
- 接着した土台の歯が虫歯や歯周病により失われることは、 できる限り避けたいものです。
-
-
接着歯科
下顎側切歯ダイレクトブリッジ
-
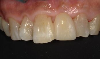
治療前

-
治療後

- 費用
- 99,000円
- 担当医からのコメント
- 歯周病により抜歯した下顎側切歯欠損をダイレクトブリッジ症例 歯周基本治療ののちに行いました。 下顎前歯部欠損は欠損スペースの狭さや 歯槽骨の薄さなどからインプラント治療ができなかったり 高度な骨造成が必要になることからインプラント以外の治療を 望まれるれる方が多いのが現実です。
- リスク
- 歯周病・プラークコントロールは大切です。
-
-
接着歯科
ダイレクトブリッジ5年半後
-
治療前

-
治療後

- 費用
- 99,000円
- 担当医からのコメント
- 5年半前にダイレクトブリッジを施術 形態を整えて修復した症例 プラーコントロールがよく5年半後も色調も調和しています。 自身の歯とダイレクトブリッジとの境界の再研磨が必要となりました。
- リスク
- プラークコントロールがよくこと、 かみ合わせが安定しているなどから もし脱離や破折があっても再修復することも可能です。
-
-
接着歯科
4年後のダイレクトブリッジ(2年目破折による修理)
-
治療前

-
治療後

- 費用
- 250,000円
- 担当医からのコメント
- インプラント治療や義歯や歯を削ってのブリッジが適応で、 本来はその適応ではないのですが患者様の強い希望により (以前の虫歯治療による充填物は除去してある状態から) ダイレクトブリッジを施術しました。 やはり2年後にブリッジの中間で破断し、修理を行いました。 今後も破折による対応が必要となると思われます。
- リスク
- たとえ1歯欠損でも、破折しやすさは個々人で様々なので、 ダイレクトブリッジをを勧めしない場合も多いです。 修理には費用(保証期間を過ぎると)が発生します。 10,000円~初期費用と同額まで必要になります。
-
-
接着歯科
6年後のダイレクトブリッジ
-
治療前

-
治療後

- 費用
- 66,000当時 (現在99,000)円
- 担当医からのコメント
- 6年ぶりに他の歯の治療とブリッジの着色を 気にされて来院。ブリッジと歯の接着の境の着色 を再研磨しました。
- リスク
- プラークコントロールがよく、 臼歯部(奥歯)のかみ合わせもあり、 歯ぎしりなどが少ないとおも割れることが 安定している要因であると考えます。
-
-
審美歯科
矯正治療とダイレクトブリッジのコラボ
-
治療前

-
治療後

- 費用
- 99,000(1か所につき)円
- 担当医からのコメント
- 両側側切歯欠損に対して矯正治療とダイレクトブリッジの組み合わせ 矯正治療でスペースを作り矯正治療の最終段階で接着歯科を応用し ダイレクトブリッジを施術しました。
- リスク
- 矯正治療の後戻り予防とダイレクトブリッジの破折予防のため リテーナーマウスピースは必須となります。
-
-
接着歯科
ダイレクトクラウン
-
治療前

-
治療後

- 費用
- 77,000円
- 担当医からのコメント
- 残根状態の右上側切歯の即日・接着修復症例 麻酔下で歯肉の整形を行ってから、歯面清掃の後 SLDPとういう、接着力を向上させる手法を併用し ダイレクトクラウンで修復しました。
- リスク
- 即日修復は可能ですが、条件が悪い修復の場合 後日再研磨やかみ合わせの再調整が必要になります。
-


